CASE 症例紹介
前歯がガタガタで気になる(10歳・女性)
-
-

BEFORE
-

AFTER
症例情報
症状 前歯がガタガタで気になる 下の歯が隠れてしまっている 年齢・性別 10歳・女性 治療期間 2年経過 治療方法 前歯のみワイヤー矯正装置を用いた後、取り外し式の装置にて上下の噛み合わせ位置の改善を行ないました。 現在治療途中の状態です。 費用 400,000円+税 デメリット・注意点 取り外し式の装置を使用するためご本人の協力が必要である。 痛みを感じたり、清掃不良になる可能性がある。 -
-
治療詳細
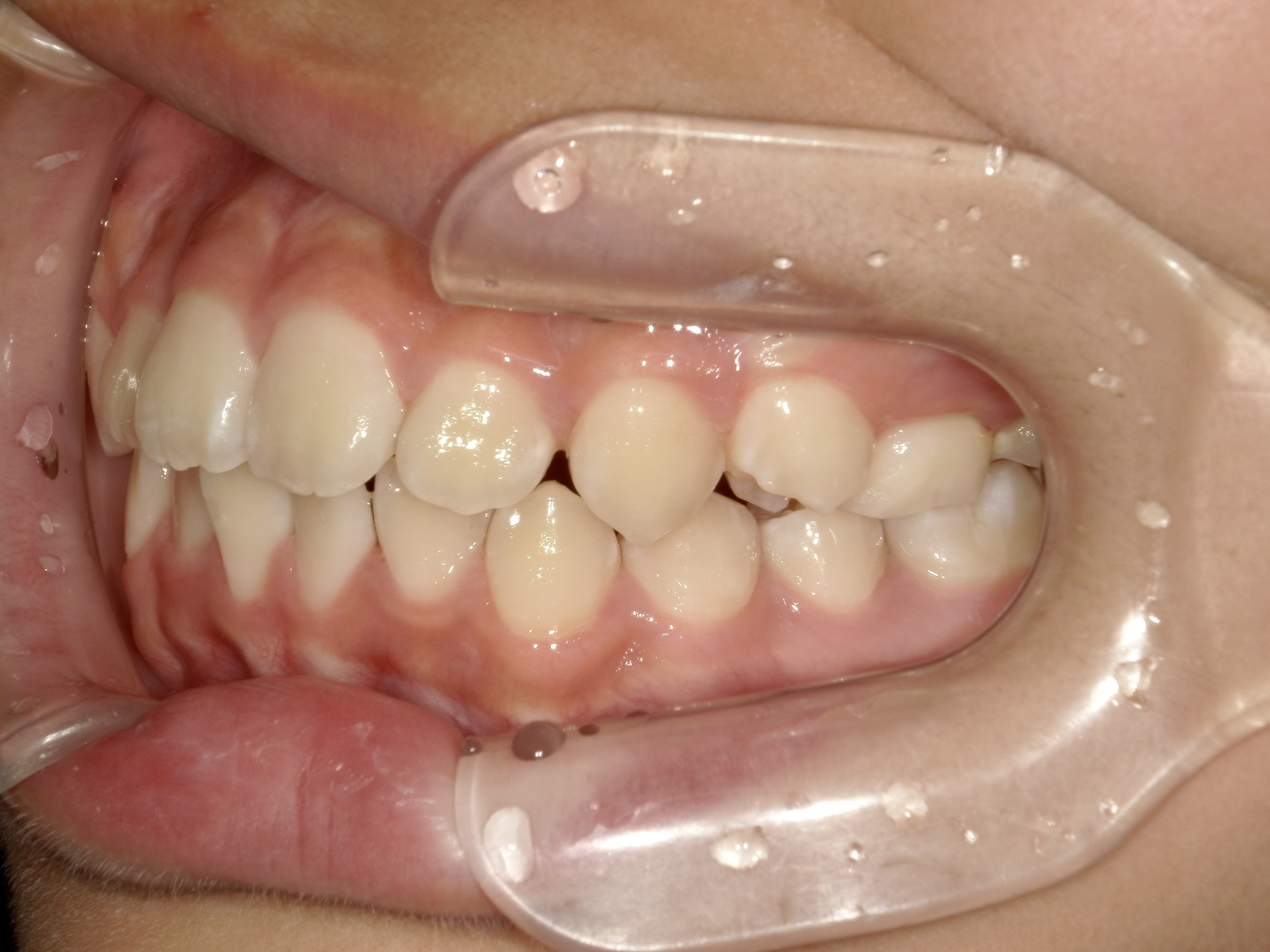
治療前/横から見た歯並び
出っ歯傾向が強く見られます。 また噛み合わせが深く、下の前歯が見えません。 -
治療中/横から見た歯並び
出っ歯傾向がなくなり、噛み合わせも改善しているのがわかります。 現在永久歯への生え変わりを待っている期間です。 今後は再評価後に一期治療で終了するか、二期治療へ移行します。 -
治療前/上の歯だけの状態
一番前の歯が特に出ているのがわかります。 -
治療中/上の歯だけの状態
出っ歯傾向が改善し、きれいなアーチになっています。 左右ともに奥から2つ目の歯は乳歯で永久歯への生え変わりを待っています。 -
2011年
徳島大学歯学部歯学科卒業
-
2016年
徳島大学大学院 口腔顎顔面矯正学分野 博士課程修了
-
2017年
日本矯正歯科学会認定医取得
監修者情報
しげた歯科・矯正歯科
矯正医:重田 南
矯正医:重田 南
経歴

