CASE 症例紹介
歯茎が見える/ガミースマイル【マウスピース矯正】
-
-

BEFORE
-

AFTER
症例情報
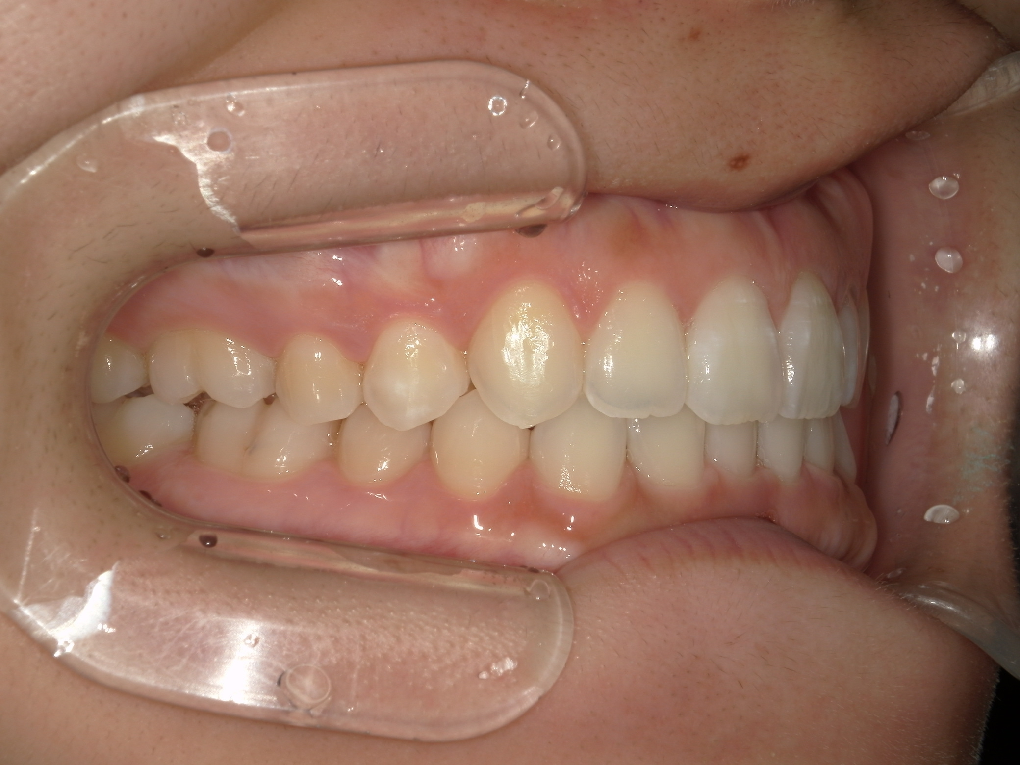
症状 前歯の傾き 歯茎が見える 年齢・性別 20代 女性 治療期間 1年8ヶ月 治療方法 マウスピース矯正治療 費用 850,000円+税 デメリット・注意点 取り外しできるため本人の協力が不可欠である 備考 マウスピース矯正治療により、歯並びの改善を行うことにより笑ったときの印象を変化させることができました。 笑ったときに歯ぐきが必要以上に見えてしまうことがあり、これをガミースマイルと呼びます。 -
-
治療詳細
治療前の笑顔
笑うと歯茎が見え、いわゆるガミースマイルの状態です。 -
治療後の笑顔
前歯の位置を動かすことで笑っても歯茎が見えなくなりました。 歯茎を切ったり、唇を厚くしたりすることでもガミースマイルは改善できますが、このように矯正治療により歯を動かすだけで改善が可能です。 -
治療前の横からの歯並び

-
治療後の横からの歯並び

-
2011年
徳島大学歯学部歯学科卒業
-
2016年
徳島大学大学院 口腔顎顔面矯正学分野 博士課程修了
-
2017年
日本矯正歯科学会認定医取得
監修者情報
しげた歯科・矯正歯科
矯正医:重田 南
矯正医:重田 南
経歴

