CASE 症例紹介
ガタガタ
-
ガタガタ
八重歯/ワイヤー矯正【20代女性】
詳しく見る-

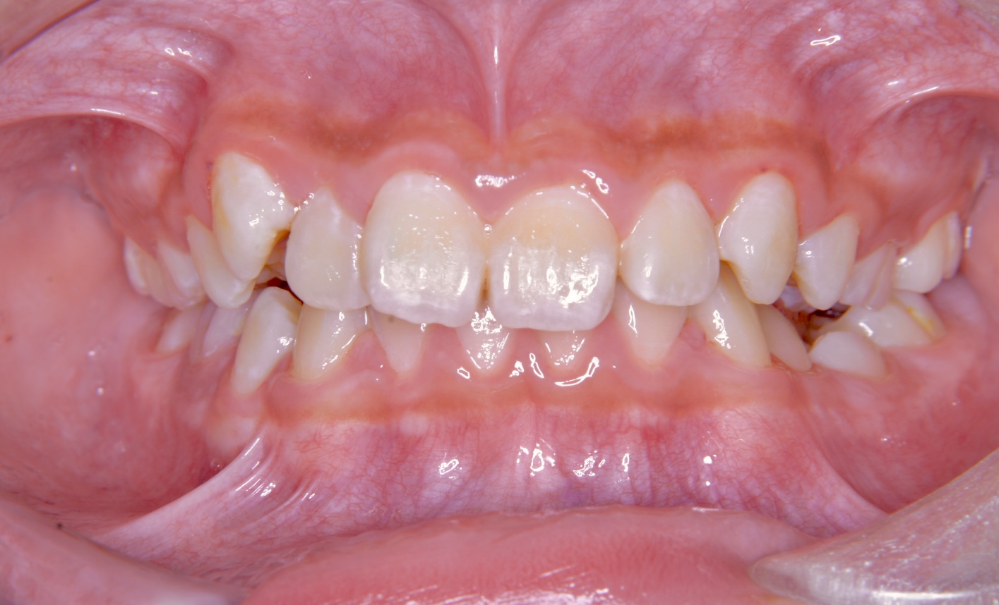
BEFORE
-

AFTER
症状 『前歯がガタガタ』 『八重歯が気になる』 年齢・性別 20代・女性 治療期間 約2年 治療方法 ワイヤー矯正治療(ラビアル)/小臼歯抜歯あり 費用 830,000円+税 デメリット・注意点 ガタガタが強いため目立たない歯の抜歯が必要になる 備考 前歯のガタガタや八重歯になっているのが以前から気になっていたようです。期間を最小限にするためにワイヤー矯正を選択しました。 -
-
ガタガタ
ガタガタ、八重歯【小児矯正〜Ⅰ期治療+Ⅱ期治療】
詳しく見る-

BEFORE
-

AFTER
症状 ガタガタ、噛み合わせが深い 年齢・性別 11歳女性 治療期間 1期治療:10か月、2期治療:2年4か月 治療方法 上顎を拡大する装置を使用し、その後上下フルワイヤー矯正で治療しました。 費用 830,000円+税 デメリット・注意点 歯根吸収、歯肉退縮などが生じる可能性がある -
-
ガタガタ
八重歯、ガタガタ【成人矯正・抜歯・20代】
詳しく見る-

BEFORE
-

AFTER
症状 八重歯が気になる 年齢・性別 20歳女性 治療期間 2年4か月 治療方法 上下左右1本ずつ抜歯。 フルワイヤー矯正治療+アンカースクリューにて行なった。 費用 830,000円+税 デメリット・注意点 歯根吸収、歯肉退縮など -

