CASE 症例紹介
前歯が出ている・噛み合わせが悪い/ワイヤー矯正【30代女性】
-
-

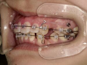
BEFORE
-

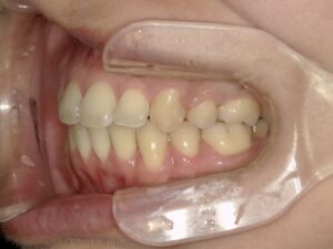
AFTER
症例情報
症状 前歯が出ている、かみ合わせのズレが気になる 年齢・性別 30代・女性 治療期間 約3年 治療方法 ラビアル矯正治療(抜歯あり、アンカースクリューあり) 費用 830,000円+税 デメリット・注意点 歯肉退縮を起こすリスクがある。予測していた通り治療後に若干の歯肉退縮を認めたが、審美的に影響が出るほどの退縮は認めなかった。 備考 歯を動かす距離も長く治療期間は3年を要しましたが、気になるところもなくなり大変喜んでいただけました。 -
-
治療詳細
矯正治療前
笑ったときに歯と歯ぐきの見える範囲が多い印象で、ご本人も見た目を気にされていました。 -
矯正治療後
笑ったときに歯茎が見えなくなりました。また口元の緊張感がとれ、自然な笑顔になりました。 -
治療途中の横からの写真
上下ともに1本ずつ小臼歯を抜歯しています。 アンカースクリューを用いることで効率的に前歯を後ろに引っ張っています。 -
矯正治療後の横からの写真
前歯がしっかり後ろに下がり、突出感をおさえることができました、また噛み合わせもよく、長持ちしやすい環境を整えることができています。 -
監修者情報

兵庫県尼崎市の歯医者
しげた歯科・矯正歯科
矯正医:重田 南2011年 徳島大学歯学部歯学科卒業
2016年 徳島大学大学院 口腔顎顔面矯正学分野 博士課程修了
2017年 日本矯正歯科学会認定医取得

