CASE 症例紹介
前歯がガタガタ・出っ歯を治したい/ワイヤー矯正【10代女性】
-
-

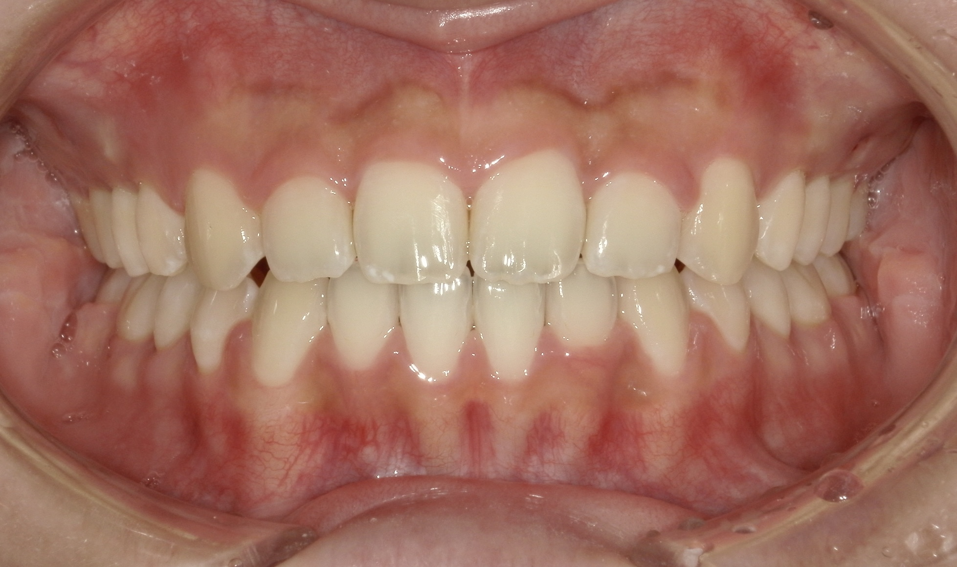
BEFORE
-

AFTER
症例情報
症状 ガタガタ・出っ歯が気になる。学生の間に治療を進めたい 年齢・性別 10代・女性 治療期間 2年半 治療方法 ホワイトワイヤーを用いたラビアル矯正治療。抜歯はせず、アンカースクリューを使用して歯を奥に下げることで出っ歯を改善しました。 費用 890,000円+税(ラビアル矯正ホワイトワイヤープラン) デメリット・注意点 矯正治療中に『しみる』症状がでることがある。実際に動かす量が多かった前歯は何度かしみる症状が出たため、知覚過敏抑制剤を使用したりしながらフォローしました。 備考 ワイヤー矯正の性能を最大限に活かせた治療例です。 上の歯の中心と下の歯の中心をピッタリ合わせ、さらに噛み合わせもしっかり改善しました。 -
-
治療詳細
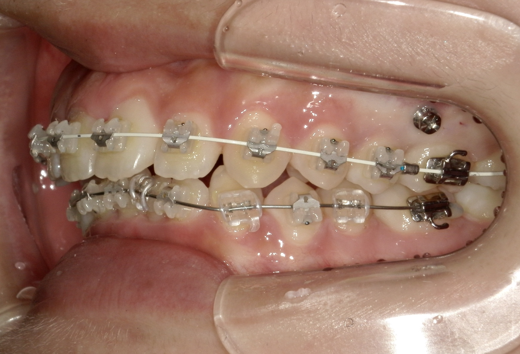
ワイヤー矯正治療中
ワイヤー矯正治療でもできる限り透明や白い装置を使用するようにしており、比較的目立ちにくく工夫しています。さらにホワイトワイヤープランのため、表面が白いワイヤーを使用しています。右上の歯茎のところに見えるネジはアンカースクリューです。これを使用して全ての歯をしっかり奥に引くことができます。 -
治療開始前(横からの写真)
前の歯が傾いており、余計に歯が出ているような印象があります。 -
治療終了後(横からの写真)
前歯の傾きと突出している印象がなくなり、理想的な噛み合わせと歯並びになりました。 -
治療後の口元
口元で気になるところもなくなり、治療後はとても喜んでいただきました。 -
監修者情報

兵庫県尼崎市の歯医者
しげた歯科・矯正歯科
矯正医:重田 南2011年 徳島大学歯学部歯学科卒業
2016年 徳島大学大学院 口腔顎顔面矯正学分野 博士課程修了
2017年 日本矯正歯科学会認定医取得

