CASE 症例紹介
すきっ歯/マウスピース矯正【20代・女性】
-
-

BEFORE
-

AFTER
症例情報
症状 以前、前歯の隙間を白い詰め物で埋めていたが『綺麗に閉じていないこと』や『色の変色』が気になり始めた。 前歯の隙間を綺麗に閉じて欲しい。 年齢・性別 20代・女性 治療期間 8ヶ月 治療方法 マウスピース矯正(インビザライン) ダイレクトボンディング 費用 450,000円+税 デメリット・注意点 指定された時間マウスピースをつけないと治療がうまく進まない 備考 比較的動きが小さいマウスピース矯正のため、コストを半分程度に抑えることができています。 ダイレクトボンディングとは審美性の高い白い詰め物のことです。 -
-
治療詳細
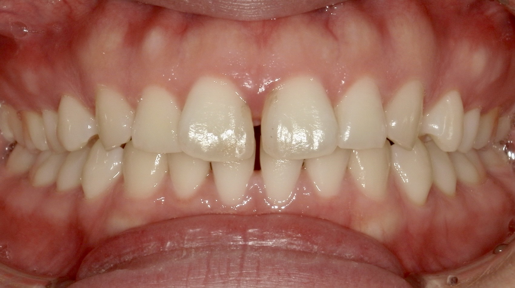
最初に来院された時
初診時の写真です。前歯の隙間を閉じるため、以前に治療を受けた白い詰め物がありましたが、きちんと閉じていないことや変色が認められます。 白い詰め物で埋めると一旦はきれいになりますが、前歯だけが大きい印象になったり変色により見た目が悪くなってきます。 また、詰め物の状態が悪く歯茎が赤く腫れています。 そのため、以前の古い詰め物を外して新しい白い詰め物で修正させていただきました。 -
治療前
詰め物をしていても残っていた隙間と変色がずっと気になっていたとのこと。 -
治療後
一番前の歯は歯のサイズを0.1mm単位まで計測し、左右揃えることで自然な見た目に仕上がっています。 -
-
2011年
徳島大学歯学部歯学科卒業
-
2016年
徳島大学大学院 口腔顎顔面矯正学分野 博士課程修了
-
2017年
日本矯正歯科学会認定医取得
監修者情報
しげた歯科・矯正歯科
矯正医:重田 南
矯正医:重田 南
経歴

