CASE 症例紹介
すきっ歯
-
すきっ歯
すきっ歯/マウスピース矯正【20代・女性】
詳しく見る-

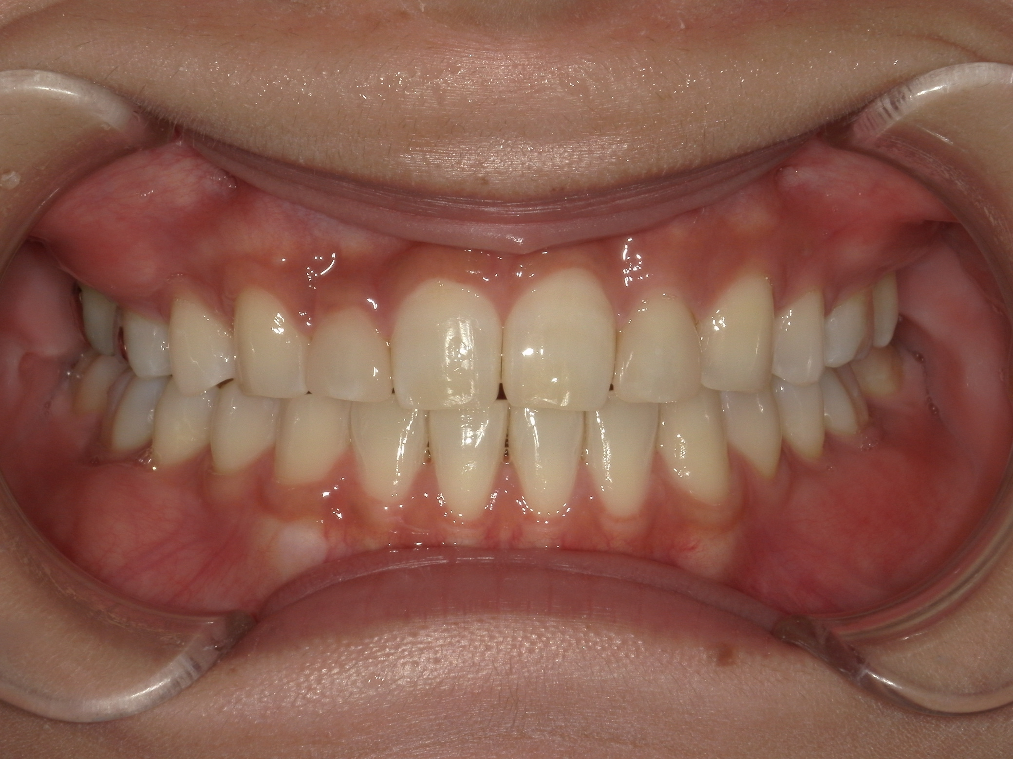
BEFORE
-

AFTER
症状 以前、前歯の隙間を白い詰め物で埋めていたが『綺麗に閉じていないこと』や『色の変色』が気になり始めた。 前歯の隙間を綺麗に閉じて欲しい。 年齢・性別 20代・女性 治療期間 8ヶ月 治療方法 マウスピース矯正(インビザライン) ダイレクトボンディング 費用 450,000円+税 デメリット・注意点 指定された時間マウスピースをつけないと治療がうまく進まない 備考 比較的動きが小さいマウスピース矯正のため、コストを半分程度に抑えることができています。 ダイレクトボンディングとは審美性の高い白い詰め物のことです。 -
-
すきっ歯
歯のすき間が気になる/ワイヤー矯正(20代・女性)
詳しく見る-

BEFORE
-

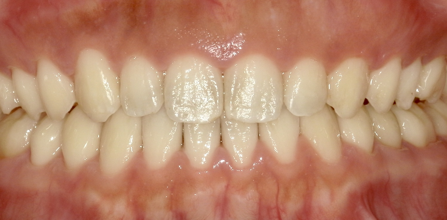
AFTER
症状 すきっ歯 年齢・性別 20代・女性 治療期間 2年 治療方法 全体のワイヤー矯正+ダイレクトボンディング(白い詰め物を使用し歯の形態を自然にする治療方法です) 費用 378,000円(途中転院のため) デメリット・注意点 表側のワイヤー矯正のため装置が目立つ 備考 矯正治療開始後、遠方より引っ越しのため当院へ転院となりました。 転院後、ワイヤー矯正治療を再開しました。 -
-
すきっ歯
すきっ歯/マウスピース矯正(20代・女性)
詳しく見る-

BEFORE
-

AFTER
症状 すきっ歯が気になる 年齢・性別 22歳・女性 治療期間 2年経過 治療方法 マウスピース矯正 費用 850,000+税 デメリット・注意点 マウスピースを指定された通りに使用しないと効果が出ないことがある 備考 すきっ歯を治す方法にはいくつかありますが、一番オススメできるのはマウスピース矯正です。 当院では世界シェアNo.1のインビザライン社のマウスピースを使用しています。 短期間で終わる見た目の改善だけではなく、噛み合わせにもこだわりながら綺麗な歯並びを目指しています。 -

