CASE 症例紹介
銀歯が痛くて噛めない /インプラント治療
-
-

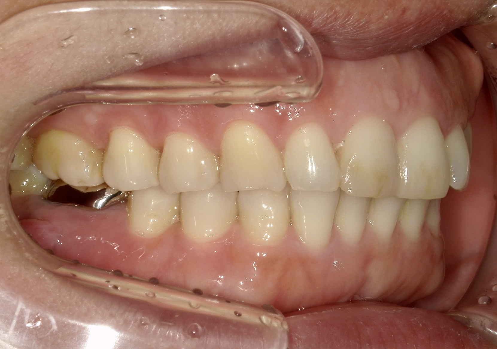
BEFORE
-

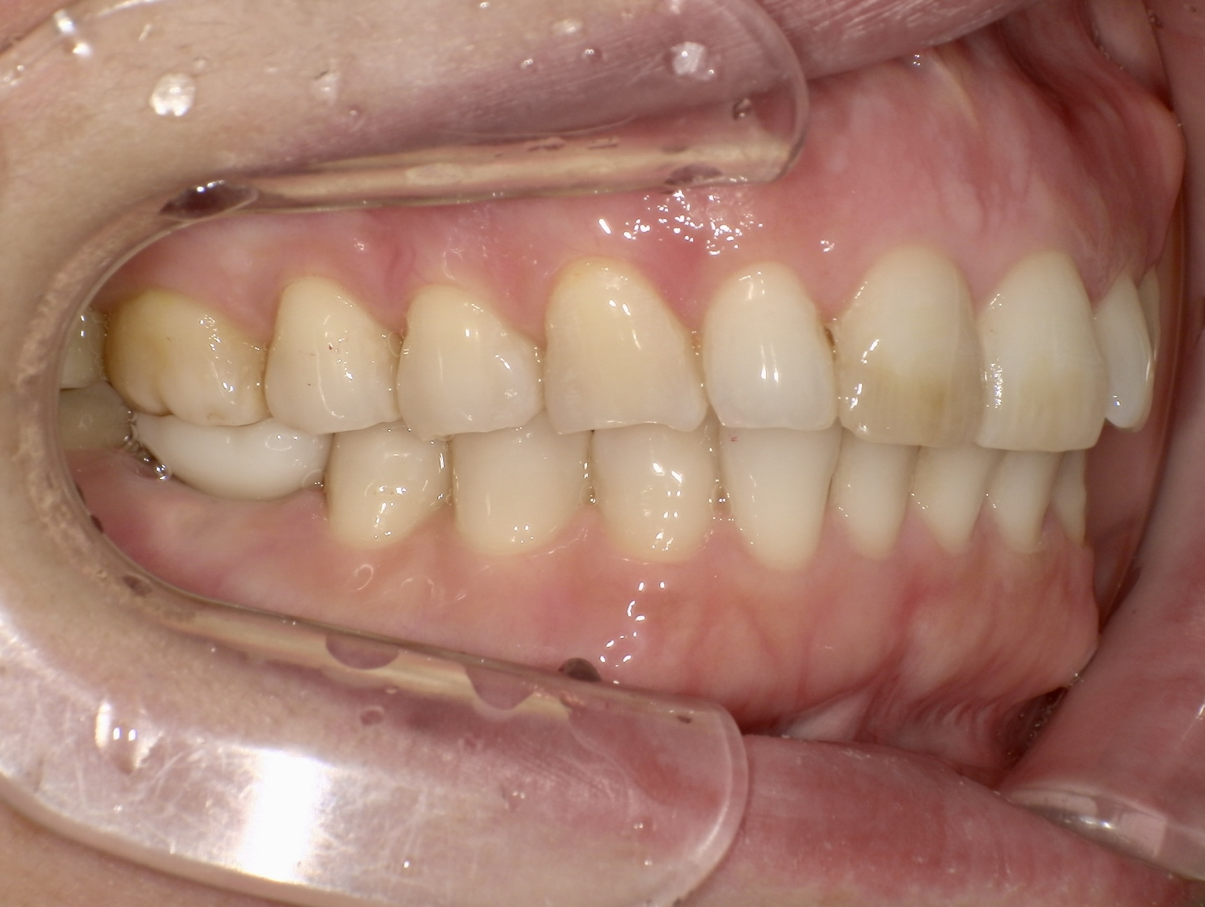
AFTER
症例情報
症状 『銀歯が痛くて噛めないので治して欲しい』との訴えで初めて来院 年齢・性別 40代女性 治療期間 約8ヶ月(抜歯する前〜インプラント治療完了まで) 治療方法 一度保存を試みたものの状態が悪く抜歯 その後インプラント治療を希望 費用 インプラント治療代 400,000円+税(手術、薬、被せ物などの費用全て含む) デメリット・注意点 歯が完全に割れていたこともあり骨の状態が非常に悪く、インプラント治療開始までに時間を要した 備考 銀歯が痛くて治して欲しいとのことで来院されました。 レントゲンの様子を見ても歯が割れている可能性は高かったですが、保存できる可能性もあるため一度銀のかぶせものを外して歯の状態を確認しました。 実際、根の状態を見てみるとかなり大きく穴があいていて保存は難しく抜歯することになりました。(下に写真あり) 抜歯後はインプラント治療をご希望されたため、骨を回復させたのちに治療を行いました。 歯の色は患者様のご希望で比較的白い歯の色を選択されました。 食事中も自分の歯のように噛めるとお喜びいただき、現在はメインテナンスに通っていただいており順調です。 -
-
治療詳細
かぶせものを外した状態
かぶせものを外すと残念ながら根の治療が満足にできる状態ではなく外側の歯茎も大きく腫れています。 いくつか治療方法をご提案させていただき、この歯を抜歯した後はインプラント治療で回復することをご希望されました。 -
治療前の横からの写真
銀歯の周りが腫れていて満足に食事できないような状態でした -
インプラント治療後の横からの写真
治療後は他の歯と同じように気にせず噛めると喜んでいただきました。 今後は周りの歯も含めて定期的にメインテナンスを行なっていきます。 -
監修者情報

