CASE 症例紹介
こどもの矯正
-
こどもの矯正
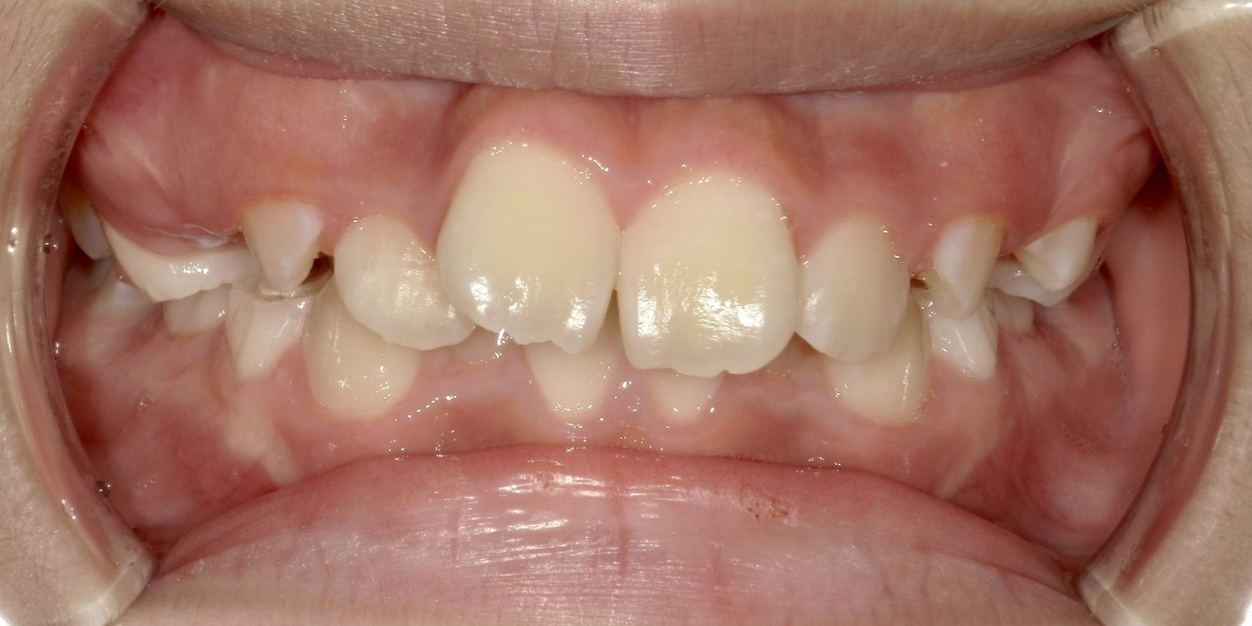
前歯が噛んでない【小児矯正/9歳女性】
詳しく見る-

BEFORE
-

AFTER
症状 前歯がうまく噛めない 年齢・性別 9歳女性 治療期間 2年経過 治療方法 小児矯正治療およびMFT治療 費用 400,000円+税 デメリット・注意点 舌の悪習癖が主な原因であるため、舌の訓練を家で行なってもらう必要がある。 備考 MFT治療とは口腔筋機能訓練のことで、舌や口唇の動きの訓練をします。 小児矯正治療では、プレオルソやワイヤー治療、取り外し式の装置などを使用しました。 -
-
こどもの矯正
受け口を治して欲しい/ワイヤー矯正【10代・男性】
詳しく見る-

BEFORE
-

AFTER
症状 受け口を治して欲しい。前歯の見た目を改善して欲しい。 年齢・性別 10歳・男性 治療期間 1年半 治療方法 固定式の拡大装置、ワイヤー矯正装置による小児矯正治療 費用 400,000円+税 デメリット・注意点 固定式装置のため、治療期間中装置がついている状態になる -
-
こどもの矯正
前歯がガタガタで気になる(10歳・女性)
詳しく見る-

BEFORE
-

AFTER
症状 前歯がガタガタで気になる 下の歯が隠れてしまっている 年齢・性別 10歳・女性 治療期間 2年経過 治療方法 前歯のみワイヤー矯正装置を用いた後、取り外し式の装置にて上下の噛み合わせ位置の改善を行ないました。 現在治療途中の状態です。 費用 400,000円+税 デメリット・注意点 取り外し式の装置を使用するためご本人の協力が必要である。 痛みを感じたり、清掃不良になる可能性がある。 -
-
こどもの矯正
ガタガタ、八重歯【小児矯正・11歳〜】
詳しく見る-

BEFORE
-

AFTER
症状 八重歯が気になる 年齢・性別 11歳女性 治療期間 1年0か月 治療方法 八重歯の入るスペースを作るため、上顎を拡げる装置と奥歯を後ろに下げる装置を併用してもらいました。 費用 400,000円+税 デメリット・注意点 1期治療(小児期のみの矯正治療)で終了したため、噛み合わせが不完全な部分がある。 -
-
こどもの矯正
ガタガタ、噛み合わせが深い【小児矯正・9歳〜】
詳しく見る-

BEFORE
-

AFTER
症状 下の前歯が見えない 噛み合わせが深い 年齢・性別 9歳女性 治療期間 1年4か月 治療方法 奥歯を後方に動かしてスペースを作り、部分的なワイヤー矯正治療を行った。 費用 400,000円+税 デメリット・注意点 1期治療のみで終了したため、噛み合わせがまだ深いままであることや咬合が不完全な部分もある。 -

