CONCEPT
ご
挨
拶
尼崎市にある歯医者しげた歯科・矯正歯科は、「痛い」「怖い」「待ち時間が長い」といった不安をできる限り解消することを目的として日々準備しております。 私たちはそのような思いに寄り添い、安心できる空間をみなさまにお届けしたいと考えております。
初めての方へ
FEATURE
私
た
ち
の
強
み
-

安心して通える
矯正のプロフェッショナル当院では、日本矯正歯科学会認定医の資格を持つ矯正歯科医が担当いたします。矯正治療はどこでやっても同じではありません。矯正の認定医であり、子供の矯正に多くの実績がある当院へぜひご相談ください。
-

子どもに優しい
歯科医院当院では、お子さんのペースに合わせて、治療を進めていきます。どうしても怖いと思うお子さんには「笑気麻酔」を使用できますので安全に治療を行うことができます。
-

痛くない治療への
取り組み当院では“痛くない・怖くない“ことを実現するために様々な取り組みをしております。
T
R
E
A
T
M
E
N
T
診
療
案
内
子どもが通いたくなる
成長する環境づくりへ
当院の小児歯科では、お子さんの成長を促すような指導や治療を心がけています。 お子さん自身に歯に興味を持ってもらい、知ってもらい、そして自分で自分の歯を守れるようになることが最終的なゴールだと考えています。
小児歯科
今しかできない骨格矯正で
輝く未来へ
こどもの矯正とは、お子さんの歯に対して行う矯正治療です。歯を並べるだけでなく成長過程にある顎の骨を正しい状態に導くことが治療のメインとなります。 顎の成長は子どもの時期にしかありませんので、この時期に矯正治療を行うメリットはたくさんあります。
こどもの矯正
大人からでも遅くない
本来の笑顔を取り戻す
大人の矯正とは、歯並びを治す治療(出っ歯や受け口など)のことをいいます。矯正治療をすることにより、キレイな歯並びになることはもちろん、むし歯や歯周病になるのを防ぐ、良いかみ合わせになることで食べ物をよく噛めるようにする、発音が明瞭になる、調和の取れた顔立ちになる等、さまざまな効用があります。
大人の矯正
-

-

-

歯を失った方への治療
歯を失った方の歯を補う方法には、入れ歯、ブリッジ、インプラントがあり、それぞれに特徴がありますので、丁寧に説明して、状況やご要望に沿う提案を行います。
-

C
A
S
E
症
例
紹
介
安心してお越しいただけるよう、
症例を掲載しております
当院の歯科医師が行った症例を紹介しています。
ご自身のお悩みがどのように治療されているのか参考にご確認ください。
-

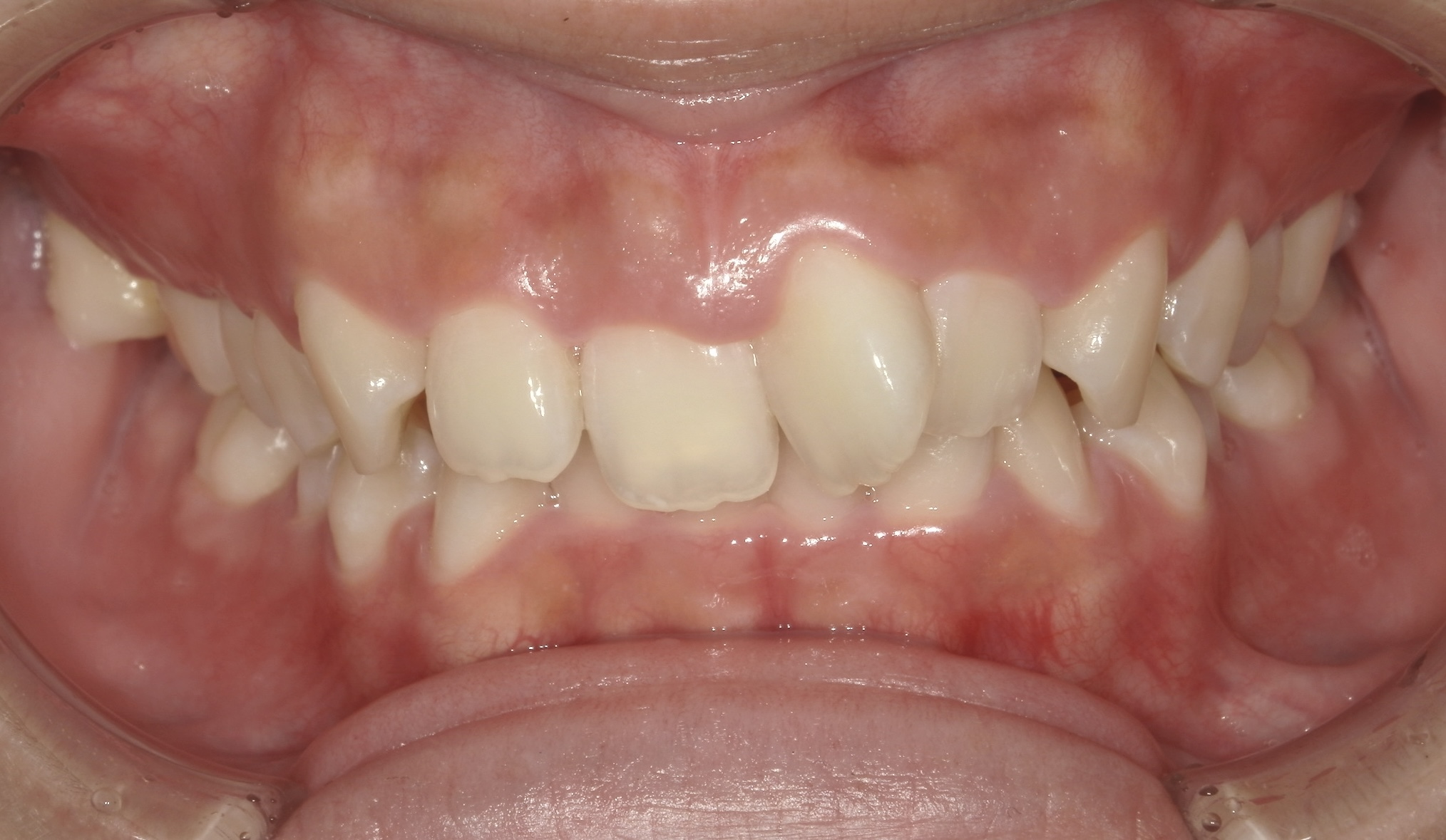
ガタガタ/ワイヤー矯正【10代女性】
ガタガタ
-

銀歯が痛くて噛めない /インプラント治療
インプラント
-

前歯が噛んでない【小児矯正/9歳女性】
こどもの矯正
イ
ン
ス
タ
グ
ラ
ム



